Stressed Out Since Childhood Pt. 1
Awareness of your programming is step one in becoming free.
In partnership with

Hello, dear reader. I know this is a stressful time. The elections are over in America, the season's holidays are fast approaching, it is Q4 for my corporate friends, and the world feels as though it is on fire (if you are still paying attention to the world). Simply stated, stress is present in you and me. How we deal with that stress is another matter entirely. This article is about our internal programming around stress that we are likely unaware of. I will begin with a familiar example of team dynamics and how stress shows up. After the example, things will get a little scientific, so buckle up and don't stress; we will journey through our internal programming and whether it supports or harms us in stressful situations— in life, love, and child-rearing.
Imagine a meeting, in person or virtual, with a hypothetical team in a professional setting. There are six people in the meeting, which quickly veers into some "hot button" issues around deadlines and the amount of work the team is expected to deliver.
Tension among the team is palpable. Two team members notice the shift in energy while focusing on the task at hand; neither of these team members feels flustered by the rising tensions.
Another team member has not noticed that their pulse has quickened and their palms have become slightly sweaty; this team member has started to feel the tension rising physically and is having a physiological reaction to stress.
Another team member has gone silent after pushing his chair away from the table, disengaging from the group. Finally, the sixth team member, who unfortunately is the team leader, has become angry at not effectively getting his message across to the team and at the seeming disregard over the looming deadline.
The boss is in a total stress response and knows it; he spends most of his time, most days, in this high-intensity state. Just as the meeting is coming to a close, the team member who has withdrawn from the group makes a highly sarcastic remark under his breath; this elicits the anger of the boss, who flairs up at the remark; the anxious team member starts crying and drops off the call, the boss tells the rest of the team to give him twice daily updates and ends the meeting. Team motivation is low, and morale is in the toilet.

Dysfunction and Toxic Dynamics, oh my!
This example, not entirely exaggerated, is a typical scenario in which the emotional dysregulation of some affects a significant percentage of the population because each person we come into contact with has one of four distinct attachment styles with which they navigate life and relationships.
What is Attachment Style?
John Bowlby, the pioneer of attachment theory, posited that the need to form attachments is an innate, evolutionary drive crucial for survival. Building upon Bowlby's theory, Mary Ainsworth developed the Strange Situation Procedure in the 1970s to observe and classify infant attachment styles. This procedure exposed infants to separations and reunions with their caregivers in a controlled laboratory setting. Ainsworth and her mentee, Mary Main, identified four styles of attachment, three of which are insecure styles and comprise about half of a given population. This research has stood as the bedrock for attachment theory and has proved to be accurate across multiple longitudinal studies.
The data around how many people are secure or insecurely attached is mixed and varies depending upon many factors, but the consensus is that about 50% of any population will generally exhibit secure attachment styles, with the remaining half displaying a mix of the other three in various ratios.
Secure – About 50 percent of the population
Anxious – About 20 percent of the population
Avoidant – About 25 percent of the population
Combinations such as Secure-Anxious or Anxious-Avoidant are about 3 to 5 percent of the population.
The Four Attachment Styles (Workplace Perspective)
Secure Attachment ~50%
People with a secure attachment style are highly effective in the workplace. They are often seen as reliable, approachable, and adept at forming strong interpersonal relationships.
This attachment style allows individuals to handle authority and organizational changes well, fostering a collaborative environment.
They are typically comfortable with teamwork and can manage stress effectively, making them resilient against workplace burnout.
Their ability to trust and support their colleagues also contributes to a positive work atmosphere and reduces the likelihood of fear of failure and rejection (lucky ducks 🦆).
Anxious Attachment ~20%
Individuals with an anxious attachment style may experience increased self-doubt and emotional reactivity to workplace stressors, such as criticism or conflict.
They often seek reassurance about their performance and may depend heavily on feedback.
This can lead to challenges in self-regulation during emotionally charged situations, potentially impacting their productivity and increasing their risk of burnout.
Anxiously attached individuals might also misinterpret interactions with colleagues or supervisors, which can strain professional relationships.
Avoidant Attachment ~25%
Those with an avoidant attachment style generally prefer to work independently and may show a notable disengagement from team dynamics.
They often express discomfort with authority and may avoid social interactions, particularly unplanned or emotionally charged ones.
Their independent work style can be beneficial in situations requiring quick, decisive action without extensive supervision.
Their tendency to push others away can sometimes be perceived as aloofness or lack of cooperation.
Disorganized Attachment ~5%
Employees with disorganized attachment might display inconsistent performance, fluctuating between high engagement and complete withdrawal.
This unpredictability can complicate their response to stress and authority, often resulting in confusion or inefficiency.
Managing relationships and expectations in the workplace can be particularly challenging for these individuals, who may struggle with clear and consistent communication.
Knowing these styles can be a tremendous tool in understanding your behavior and your colleagues. As much as we love categories, the consensus among professionals in the mental health space is that these styles exist on a spectrum.
Many of us will exhibit all four styles at different times in our lives, and the styles are situationally dependent and based on our physiological state.Additionally, stress plays an outsized role in our ability to maintain a securely attached state, especially if we lean towards insecure attachment.
The purpose of this article is not to give you new ways to describe coworkers who can’t get along but rather to arm you with a deeper understanding of the programming we receive as children and how it impacts us in every interaction until we decide we may wish to change.
Armed with this information and a healthy dose of curiosity about self-discovery, I suggest you first explore your own attachment style with this quiz. Revisit your scores over time, particularly if you are proactively working on this area of your life and aim to shift towards a more secure style.
How We Form Our Attachment Style
Infants are inherently driven to seek proximity to their caregivers, especially in distress, as this ensures protection and promotes their survival. The infant's brain requires feedback from an adult's eyes and facial expressions to program her neurons. There is evidence that a broken heart is quite literally a physical manifestation of emotional pain originating from early attachment trauma. This pain, stemming from unmet needs and insecure attachment, is believed to be transmitted from the brainstem to the nerves surrounding the heart and other organs.
Our nervous system is not finished forming when we are born. This means our nervous system and the automatic responses it will trigger in our bodies as we go through life are defined by the final stages of its development after birth and through our interactions with caregivers.
When infants consistently receive sensitive and responsive care, they develop a secure attachment style, which fosters healthy brain development, allowing for better emotional regulation, the ability to form healthy relationships, and resilience in the face of stress.
Conversely, inconsistent, neglectful, or abusive caregiving can lead to insecure attachment styles that can negatively impact the development of the nervous system. This impact has knock-on effects on the body and brain, particularly concerning how a person handles stress.
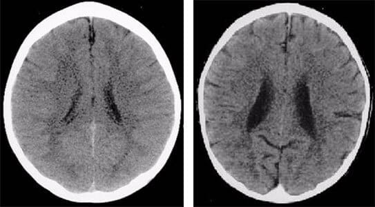
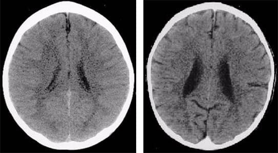
Chronic stress in childhood affects the developing brain, leading to alterations in brain structure and function, particularly in areas associated with emotional processing, stress regulation, and social cognition. Brain scans of children who have experienced severe or continued neglect show smaller brain size and abnormal cortical development.

Life Circumstances + Early Childhood = ?
Like all observations of the mind, there is no static equation determining who we are and how we operate. Our experience as infants will lay down core fundamentals that shape our internal model of the world, including how safe we are, how safe others are, what to do if we don’t feel safe, etc.
The ACE test, developed in the 1980s, links adverse childhood experiences to behavioral, mental, and physical health outcomes over a person’s lifespan. I could write a separate article on the topic, but for our purposes here, the ACE score you have will likely correspond to whether you have a secure or insecure attachment style.
Though the evidence clearly shows the repetition of trauma through generations via the attachment style of parents and the implications of that style on children, awareness is so thin on this issue that unless you, too, have gone looking for answers and ventured into the area, you likely have never heard of either ACE or attachment style (with the exception of mental health professionals of course). The ACE score is straightforward; you can take the adult test here. In combination with the attachment style quiz, you might discover something new about yourself; how cool is that?
Armed with awareness, you are empowered to begin self-improvement.
Thankfully, our internal model of the world is not static; it evolves based on new experiences and information (hello neuroplasticity 🧠). This adaptability is crucial for learning from past actions and refining strategies under varying circumstances. You can increase your ability to adapt by proactively addressing the underlying issues related to an insecure attachment style.
From our first experiences with early education to friendships and achievements, our self-esteem can build our security and ability to engage in a healthy, balanced manner. Life will offer many opportunities to diminish or improve our capacity for connection and relationships with others. Once we are aware that there is an imprinting we can choose to rewrite it. At this point the person is empowered with the awareness to change.
End of Pt. 1
Next week, I will continue exploring attachment styles and how we can improve our style once we identify it. I will also discuss how we can use our awareness of attachment styles to build better connections with others and have empathy for ourselves and other people when we just can’t make it work.
That is all for this week, my friends. Stay calm, stay curious, and do something nice for yourself and someone else while you are at it!
—Your faithful writer, Sonia SuperSonic.

Peace Within = Peace Outside
Notes on mental health…
I am not a mental health professional, and my writing is not intended as advice in this realm. I am a lifelong explorer of the mind and a perpetually curious combiner of ideas and disciplines.
If you or someone you love is suffering from a mental health crisis, seek help. If you cannot afford or do not have access to a therapist, these resources may be a good place to start. If you are in crisis, seek help from a friend or loved one, and if you are having suicidal thoughts, confidential help is available in the United States and for US and non-US residents.
Finding a therapist who is a good match for you may take some time, don’t be afraid to begin the search. We don’t assume we will have six-pack abs if we eat Cheetos and binge-watch Netflix, and we likewise should not assume ideal mental health without gym-level effort. The journey is well worth the effort, though it won’t be pretty; the reward is freedom from toxic dynamics and the ability to live an authentic, way less stressful life. Ultimately, by improving yourself, you are breaking one link in a long line of generational trauma.
Sources and Further Reading
Adverse Childhood Experiences and the Agony of Perfectionism: A Better Way to Achieve Your Goals
attachmentdisorderhealing.com: the-silent-epidemic-of-attachment-disorder
Attachment Style Isn’t Destiny
Frontiers: High Prevalence of Insecure Attachment in Patients with Primary Hypertension
How to Change Your Attachment Style and Your Relationships
Psychology Today: How Many Children Are Securely Attached to Their Parents?
Simply Psychology: Insecure vs. Secure Attachment in Relationships
The Adverse Childhood Experiences Study: Lessons Learned and Future Directions
The Brain Science Behind Student Trauma
Your Digital Twin, Proxy

Your personal digital clone for low value tasks
Gets smarter as you give it commands to learn
The first truly general AI Agent
⭐️Do you feel like you are behind on how AI can act as your assistant in business and life?

TheFaceOfAI — Private Beta Waitlist Signup.
TheFaceOfAI Private Beta Waitlist Signup.
27os2w8mr7v.typeform.com/to/n5vsHqC5

Other great newsletters I also subscribe to…

Esther's Letters
It's Personal: Invest in yourself, build meaningful relationships, and discover what matters to you.

Generation She Newsletter

Female Startup Club
Join 130,000+ ambitious women in the FSC universe getting insider access to smart grants, tools & jobs 3x a week → "the best newsletter for women who want to make more money!"
